1. Home
Lipogems ortopedico – La nuova frontiera in medicina dello sport

Sport e Traumi

Tempo di lettura: 1 minuti

Lipogems ortopedico – La nuova frontiera in medicina dello sport

Un articolo tratto da Orthopedics this Week, l'editoriale più autorevole in Ortopedia, evidenzia il caso dell'atleta professionista Brian Farber trattato con Lipogems presso il San Diego Orthobiologics Medical Group. Il calciatore dei San Diego Sockers, dopo una lacerazione del tendine rotuleo, ha trascorso due anni lontano dal campo prima di trovare sollievo grazie al metodo Lipogems del Prof. Tremolada, applicato dal Dott. Rogers.

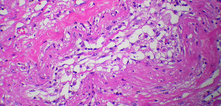
Il sistema Lipogems utilizza tessuto adiposo prelevato tramite lipoaspirazione per creare un materiale iniettabile. La tecnologia preserva l'integrità del tessuto adiposo, mantenendo la sua rete vascolare e la matrice extracellulare, supportando una migliore integrazione tissutale.

A differenza dei sistemi che utilizzano frazione vascolare stromale (SVF) con approccio enzimatico, Lipogems è un dispositivo FDA-cleared per il processamento del tessuto adiposo, utilizzabile in chirurgia ortopedica, artroscopica, neurochirurgia, chirurgia generale e ricostruttiva.

Il dispositivo Lipogems consiste in un cilindro trasparente con filtri e sfere per la micro-frammentazione del tessuto adiposo. I filtri sono dotati di connettori Luerlock per collegare le siringhe contenenti il lipoaspirato e quelle per la raccolta del tessuto processato.

Il vantaggio unico di Lipogems è il mantenimento dell'ambiente rigenerativo completo del tessuto adiposo, che migliora la vitalità cellulare e la capacità rigenerativa. Le cellule mesenchimali presenti necessitano del supporto di altre cellule e proteine per esercitare i loro benefici curativi.

Nel caso specifico dell'atleta Farber, dopo il trattamento Lipogems, è stato seguito un programma di riabilitazione con fisioterapia, rafforzamento progressivo e tecnologia BEMER. Dopo soli sei mesi di trattamento, l'atleta è tornato a giocare professionalmente, in netto contrasto con i due anni precedenti di terapie inefficaci.

Attenzione

Le informazioni presenti nel sito istitutoimage.it hanno finalità esclusivamente informative e non intendono in alcun modo sostituire la consulenza medica specialistica. I contenuti sono redatti nel rispetto dell'Art. 56 del Codice Deontologico FNOMCeO e della Circolare Ministeriale del 18/12/2024. Le informazioni pubblicate sono state redatte da medici e chirurghi specializzati e hanno esclusivamente scopo divulgativo:

  • non costituiscono in alcun modo formulazione di diagnosi;
  • non sostituiscono il rapporto diretto medico-paziente;
  • non devono essere utilizzate come prescrizione di trattamenti o decisione autonoma in ambito terapeutico.

Per la valutazione dell'idoneità a sottoporsi a trattamenti di medicina estetica o a interventi di chirurgia plastica è necessaria una visita medica specialistica.

Per qualsiasi chiarimento, lo staff di Image Regenerative Clinic è a disposizione senza alcun impegno. Leggi il Disclaimer completo.

Mission

Questo sito è rivolto a utenti che desiderano informazioni qualificate e aggiornate su trattamenti di medicina estetica rigenerativa, chirurgia plastica e programmi di longevità. I contenuti hanno lo scopo di fornire nozioni generali, senza in alcun modo sostituire il rapporto medico-paziente. Image Regenerative Clinic si impegna a offrire interventi e terapie scientificamente supportate con la massima trasparenza e nel rispetto delle normative vigenti.

Website Authors

Dr. Carlo Tremolada – OMCEO Milan registration no. 30098  Tutti i contenuti e le immagini di questo sito web sono stati scritti, revisionati e approvati dal Comitato Medico-Scientifico interno coordinato dal Dr. Carlo Tremolada, nel rispetto dell'Art. 56 del Codice Deontologico FNOMCeO e delle normative vigenti sulla pubblicità sanitaria.

Website Ownership

Il sito web istitutoimage.it è di proprietà di Image Regenerative Clinic S.r.l.

Non contiene banner pubblicitari, non ospita contenuti sponsorizzati e non beneficia di sovvenzioni o ricavi da pubblicità esterna.